審美歯科
歯と歯ぐきの悩みはご相談ください
「審美歯科って歯並びをきれいにしたり、歯を白くすること?」そんな考えが一般的に普及していますが、実はただ単にそれだけではありません。歯や歯ぐきの健康を取り戻し、安定した機能を保ち、素敵な笑顔を回復させること、それが本来の審美歯科の目的なのです。
お口は「食べる」という機能を果たす場所であると同時に人とのコミュニケーションにおいてとても大切な部分です。だから歯や歯ぐきが気になって人前で話すことや笑うことができなかったり、痛みや噛み合わせのせいで食事が美味しく食べられなかったりすると、気分がめいって大変なストレスを感じるでしょう。

審美歯科はそんな口元や歯の悩みを
トータルで解決します。
特に当診療所では外見的な美を取り戻すだけにとどまらず歯科医療のプロの目を通して行う審美歯科治療で本当に健康な歯と歯ぐきを回復させ正しい噛み合わせで患者様の健康美を維持できるお手伝いをしたいと思います。
治療法はさまざまです。どんな小さな悩みでもお気軽にご相談ください。
審美歯科施術例
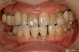
包括的歯科診療パート2 | ||
| 50代の女性の患者さんです。お口の中を全体的に治療させていただきました。インプラントも使用していますが私達、歯科医の究極目的は機能・審美的な口腔内を育成・構築・保全して行くことだと思っています。インプラントはあくまでもそのための手段にすぎません。手段の目的化ではいけません。 | ![]() |
![]() |
【術前】 |
【術後】 |
|
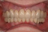
審美歯科治療 | ||
| 40代女性の患者さんです。再生療法などの様々な技術を用いて審美的に仕上げました。が最も大切なものは「咬み合わせ」です。見た目だけではいけません。(SHILLA SYSTEM使用) | ![]() |
![]() |
【治療前】 |
【治療後】 |
|
審美歯科治療 | ||
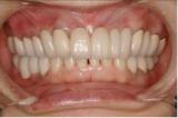
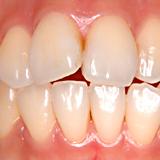
| 見た目の美しさだけにとらわれてはいけません。機能性を十分に満たした美しさが本当の審美歯科です。またそれが永続性のあるものでなければ意味がありません。歯グキの色素を除去し綺麗なピンク色にし、下の前歯を漂白し(両方とも殆ど痛みはありません)上の前歯にセラミック冠を被せました。 |
![]() |
![]() |
【治療前】 |
【治療後】 |
|
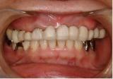
審美障害を主訴に来院されました。 | |||||||||||
| 30代女性の患者様です。インプラント治療、ブリーチング、ハイブリット冠で治療しました。噛み合わせも治療しています。見た目だけではダメです。 | ![]() |
![]() |
|||||||||
【術前】 |
【術後】 |
||||||||||
| |||||||||||
セラミックの歯で審美 | ||
| 矯正する時間がない患者さんの前歯二本をセラミックの歯で審美的に改善しました。(右上一本だけでは右上の歯だけが小さくなります) |
![]() |
![]() |
【術前】 |
【術後】 |
|









