咬み合わせ治療
機能・審美的なお口(咬み合わせ)を作るシシテムです.
Shilla system(シーラシステム)とは顔の中心を基準とする機能・審美的なお口(咬み合わせ)を作るシステムです。
頭(顔面頭蓋)は7kg〜10kgとボーリングのボールと同じくらいの重量があります。あご関節は頭と胴体の繋ぎ目で頭(顔面頭蓋)を支えています。あご関節は歯の並びによってバランスが保たれ姿勢を左右する大きな要素です。
頭(顔面頭蓋)のバランスの歪みは審美的な問題だけでなく頭痛、肩こり、頚腕症候群などの原因となるばかりではなく頚椎、骨盤の歪みを発生させ内臓の圧迫から全身的に不健康の要因となります。
咬み合わせのバランスが悪いと様々な体調不良、健康問題に直面します。Shilla system(シーラシステム)で理想的な左右対称の咬み合わせを構築し、体の重心バランスを整え不健康の要因を取り除きます。
咬み合わせ治療 施術例
インプラント・咬み合わせ治療(SHILLA SYSTEM使用) | |||||||||||
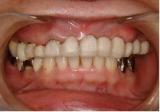
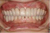
| 40代男性です。歯並び、咬み合わせが悪くアゴの痛みと審美障害を訴えて来院されました。 | ![]() |
![]() |
|||||||||
【術前】 |
【術後】 |
||||||||||
| |||||||||||
審美障害を主訴に来院されました。(SHILLA SYSTEM使用) | |||||||||||
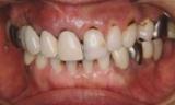
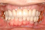
| 30代女性の患者様です。インプラント、ブリーチング、ハイブリット冠を使用しSHILLA SYSTEMで咬み合わせ,審美性を改善しました。SHILLA SYSTEMは素晴らしいシステムです。噛み合わせも治療しています。見た目だけではダメです。 | ![]() |
![]() |
|||||||||
【術前】 |
【術後】 |
||||||||||
| |||||||||||
SHILLA SYSTEM活用例 | |||||||||||
| 50代の女性です。咬み合わせも含めてトータルに治療しています。インプラント、歯肉移植、ブリーチング、ポーセレン修復などを行っています。術後約5年たちますが、月に一度の定期検診で異常なく使われています。 | ![]() |
![]() |
|||||||||
【術前】 |
【術後】 |
||||||||||
| |||||||||||
お口のバランスを調べる | ||
| 器具を使って、噛み合わせのズレを調べます。 | ![]() |
![]() |
【右上がりの咬み合わせ】 |
【治療後左右水平です】 |
|







