再生療法
今迄の歯科治療は悪いところを取り除く、「切除療法」が中心でした。
現在は元の状態に戻す「再生療法」が可能になりました。
最近では、なくなった部分をもとの状態に戻す『再生療法』という治療が出来るようになってきています。歯周病の進行で、歯の回りの失った骨を再生させる再生療法。インプラント治療の時にインプラントを植立するのに必要な骨を再生する再生療法。歯ぐきが下がり歯がしみたり,長くなったことに対して歯ぐきを再生する再生療法などがあります。
再生療法施術例
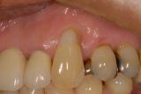
根面被覆(ルートカバレッジ) | ||
| 歯ぐきが薄い所は歯ぐきが下がりやすです。詰め物をしても詰め物の刺激でまた歯ぐきが下がってしまいます。再生療法により、露出根面をカバーし厚い歯ぐきを獲得しました。審美的にも改善され、歯ぐきも下がりにくくなりました。現在の歯科医療は進んでいます。 | ![]() |
![]() |
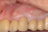
根面被覆 | |||||||||||
| 歯がしみていました、詰め物で治療しても数年で変色して再治療が必要になり、だんだん歯がなくなります。退縮した歯ぐきを再生して歯がしみるのを改善しました。 |
![]() |
![]() |
|||||||||
【術前】 |
【術後】 |
||||||||||
| |||||||||||
GBR | ||
| 骨の量が少なくても、骨を再生しインプラントを植立することが出来ます。 インプラントのために骨再生する事をGBRといいます。 |
![]() |
![]() |
【術前】 |
【術後】 |
|
サイナスリフト | |||||||||||
| 近年のインプラント治療の進歩はめざましく、以前ではインプラント植立が不可能な場所にも再生療法を応用してインプラントの植立が可能な時代になりました。インプラントをするために、上の奥歯の骨が無い時に行う再生療法です。(POIワイドタイプインプラント使用) | ![]() |
![]() |
|||||||||
【術前】 |
【術後】 |
||||||||||
| |||||||||||
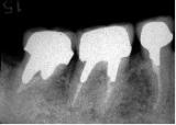
GTR (歯周組織再生) | |||||||||||
| 歯槽膿漏でなくなった歯周組織を再生することをGTRといいます。 |
![]() |
![]() |
|||||||||
【術前】 |
【術後】 |
||||||||||
| |||||||||||
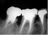
GTR(歯周組織再生法) | |||||||||||
| 真ん中の歯の左側の骨を再生させました。 (おわかり頂けますか?) |
![]() |
![]() |
|||||||||
【術前】 |
【術後】 |
||||||||||
| |||||||||||
歯槽膿漏 | ||
| 歯槽膿漏によって失われた骨が再生しています。 | ![]() |
![]() |
【術前】 |
【術後】 |
|
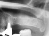
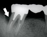
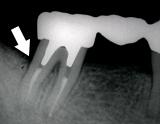
歯槽膿漏・X線写真 | ||
| 歯槽膿漏によって失われた骨(→印の部分)が再生しています。 | ![]() |
![]() |
【術前】 |
【術後】 |
|















