レーザー治療
当院では患者さんにやさしいレーザー治療をおこなっています。

一回のレーザー治療は短時間で終わります。
レーザー治療は出血もほとんどありません。
レーザー治療は傷跡も残りにくく治りも早くなります。
レーザー治療治療後の痛みもほとんどありません。
今までの治療といえば「抜く」「削る」「痛い」などといった不快なイメージが強かったのですがレーザーは痛みを和らげ「抜く」とか「削る」ことを最小限にします。
歯ぐきなどのハレをおさえ歯周病を治療しキズの治りを早くするだけでなく歯周病を治療し、虫歯になりにくくしたり虫歯になってしまったら必要最小限の除去治療ができるほか歯を白くするなどの特別な処置にも使われます。
虫歯予防と治療
レーザーは歯ブラシの届かないところでも、熱エネルギーで虫歯の原因となる虫歯菌をやっつけます。しかもレーザーで歯が強くなり虫歯になりにっくなるほか歯をつよくするフッ素も浸透しやすくなります。
歯周病
歯と歯ぐきの間にレーザーをあてて歯周病菌をやっつけます。レーザーを当てることで歯周病菌が急激に減りウミが自然に出て出血や痛みがおさまり治りを早くします。
知覚過敏
冷たい水を飲むと歯がしみるといった症状はありませんか?
レーザーで治療すると歯の表面に薄い膜ができて歯の神経につながる穴をふさぎ神経を保護するので痛みやしみることを防ぎます。
口内炎
お口の中や唇にできる口内炎や口角炎の痛みはレザーですぐ和らぎ治りも早くなります。入れ歯が当たってできる潰瘍にも効果があります。歯ぐきの黒ずみ
レーザーはメラニン色素を短時間で除去します。
数日後にはもとのキレイな歯ぐきに生まれ変わります。
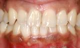
レーザー治療施術例
メラニン色素除去 | ||
| 下の歯ぐきの色を綺麗にしました。 麻酔はいりません。 |
![]() |
![]() |
【術前】 |
【術後】 |
|

