インプラント
包括的歯科診療 | ||
お口の中を全体的に治療させていただきました。インプラントも使用していますが私達、歯科医の究極目的は機能・審美的な口腔内を育成・構築・保全して行くことだと思っています。インプラントはあくまでもそのための手段にすぎません。手段の目的化ではいけません。
|
||
インプラント・咬み合わせ治療(SHILLA SYSTEM使用) | |||||||||||
| 40代男性です。歯並び、咬み合わせが悪くアゴの痛みと審美障害を訴えて来院されました。 | ![]() |
![]() |
|||||||||
【術前】 |
【術後】 |
||||||||||
| |||||||||||
審美インプラント治療 | |||||||||||
| 前歯の根が割れてしまい,抜かなくてはなりませんでした. 患者さんと相談の結果、上の前歯全てをインプラントで治療しました. どこがインプラントかわかりますか? |
![]() |
![]() |
|||||||||
【術前】 |
【術後】 |
||||||||||
| |||||||||||
どこがインプラントかわかりますか? | |||||||||||
新たに隣の天然歯を削ったりハリ金を掛けることなく、インプラントで自分の歯と同じような歯が回復できます。歯を抜くとすぐに歯を支えている骨が吸収してきます.ソケットプリザベーションという再生療法を用いて骨の吸収を防ぎ審美的に治療しました.新しい技術です.
|
|||||||||||
| |||||||||||
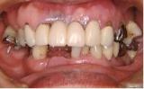
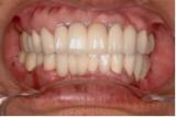
歯槽膿漏が重度の場合。 | |||||||||||
| 二本だけインプラントを使用して患者さんと一緒にここまで綺麗に治療しました。歯槽膿漏は歯科医だけの力では治せません。患者さんとの二人三脚でしか治せません。 | ![]() |
![]() |
|||||||||
【術前】 |
【術後】 |
||||||||||
| |||||||||||






