インプラント
サイナスリフト | |||||||||||
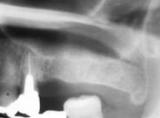
| サイナスリフトとはインプラントをするために、上の奥歯の骨が無い時に行う再生療法です。(POIワイドタイプインプラント使用) | ![]() |
![]() |
|||||||||
【術前】 |
【術後】 |
||||||||||
| |||||||||||
インプラントだと解りますか? | |||||||||||
| インプラント治療技術の進歩によって、自分の歯と殆ど見分けがつかないように治療することが可能になりました。しかし、インプラントは決して自分の歯にまさる物ではありません。まず、ご自分の歯を大切にして下さい。 | ![]() |
![]() |
|||||||||
【術前】 |
【術後】 |
||||||||||
| |||||||||||
GBR(骨再生) | |||||||||||
| 骨がなく今まではインプラント治療をあきらめていた患者さんも、インプラントに必要な骨を再生することによりインプラント治療が可能な時代になりました。 | ![]() |
![]() |
|||||||||
【術前】 |
【術後】 |
||||||||||
| |||||||||||
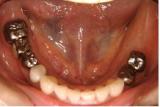
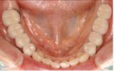
下の奥歯を失った場合 | |||||||||||
| 右の奥歯の喪失は比較的よく見られます。 | ![]() |
![]() |
|||||||||
【術前】 |
【術後】 |
||||||||||
| |||||||||||
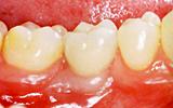
奥歯を失った場合 | ||
| ブリッジにすると、健康な天然歯を削らなくてはなりませんし、支える天然歯に負担がかかります。 インプラントを使用することにより、歯を削らなくてもよく負担を避けることができます。 |
![]() |
![]() |
【術前】 |
【術後】 |
|








一番奥の歯がなくなると固定式のブリッジができません。
